علاج التهاب الدماغ يحدث التهاب الدماغ عند تعرض أنسجة الدماغ إلى الإصابة بعدوى فيروسية أو عدوى طفيلية، وفي أحيانٍ نادرة يحدث هذا الالتهاب نتيجة عدوى جرثومية، أما أهم الفيروسات التي تؤدي إلى الإصابة بهذا الالتهاب هو فيروس الهربس البسيط النوع الأول (Herpes simplex 1)، حيث يعتبر هذا الفيروس الأكثر انتشاراً، أما الأنواع الأخرى فهي الفيروسات التي تنتمي إلى عائلة انتيرو والفيروسات المنقولة بالمفصليات وفيروس النكاف، وفي هذا المقال سنذكر عدة معلومات عن هذا الالتهاب، وما هي أعراض التهاب الدماغ.
أنواع التهاب الدماغ
- التهاب الدماغ الأولي: ينتج هذا الالتهاب عن فيروس يصيب الدماغ عن طريق عدوى مباشرة، ومن الممكن أن تبقى هذه العدوى في مكان واحد أو أنها قد تنتشر، وقد يحدث هذا النوع من الالتهاب أيضاً عندما يتنشط فيروس ما كان مصاباً بالكمون.
- التهاب الدماغ الثانوي: يحدث هذا الالتهاب بسبب وجود تفاعل خاطئ بين الفيروس الموجود في مكان آخر في الجسم غير الدماغ، وبين جهاز المناعة، فيقوم جهاز المناعة بمهاجمة خلايا الدماغ عن طريق الخطأ.
أعراض التهاب الدماغ
يترافق هذا الالتهاب بأعراض عديدة وأهمها ما يلي:
- إصابة المريض بالتهاب في أغشية السحايا Meningoencephalitis.
- إصابة المريض بانخفاض ونقص في درجات الوعي، بحيث تنخفض قدرته على التركيز والانتباه.
- الإصابة بنوبات صرع متكررة.
- إصابة أداء الأعصاب الدماغية بخلل.
- إصابة المريض بخلل في قدرته على الكلام، وخلل في أقسام معينة من الجسم.
تشخيص التهاب الدماغ وعلاجه
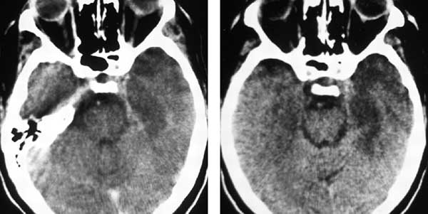
- يتم التشخيص بعمل صورة للدماغ بالتصوير المقطعي المحوسب CT، حيث تظهر فيه الأماكن الملتهبة والتي تحتوي على خراج على شكل مناطق غامقة اللون، ومحاطة بهالة فاتحة.
- يتم إجراء فحص للسائل النخاعي (CSF)، وتؤخذ هذه العينة عن طريق البزل القطني، وعمل تحليل خلايا الدم الحمراء والبيضاء.
- يكون العلاج بعمل عملية جراحية لإزالة الخراج من الدماغ واستئصاله كاملاً، كما يُعطى المريض مضادات حيوية عن طريق الوريد، ويُعطى عن طريق الوريد فقط في الحالات التي يكون فيها ارتفاع للضغط داخل القحف، كما يُعطى علاج الجلوكوكورتيكوئيدات (Glucocorticoids) في بعض الأحيان.
- يُعطى المريض دواءً مضاداً للفيروس ولمدة 14 يوماً عن طريق الوريد وهذا اسمه اتسيكلوفير، كما يعطى المريض مسكنات للألم وسوائل مغذية للتخفيف من الأعراض المصاحبة للمرض وتقليل شعوره بالألم.
- يعطى المريض أدوية مضادة لنوبات الصرع، وأدوية لتقليل الضغط في داخل القحف، وذلك لتقليل فرصة حدوث أي مضاعفات للمريض.
